
중장년층에게 구강암은 흔히 간과되기 쉬운 질환이지만, 실제로는 생명을 위협할 수 있는 심각한 암 중 하나입니다. 특히 흡연자에게서 발생 확률이 높고, 증상이 애매하게 나타나 조기 진단이 늦어지는 경우가 많습니다. 대부분의 흡연자 분들은 나는 아니겠지 하고 안이하게 생각하셨다가 확연하게 몸에 이상이 느껴지만 그때서야 병원에 가서 검사를 받지만 그땐 이미 늦었을 수도 있습니다. 하지만 증상을 미리 인지하고, 위험 요인을 줄이며, 체계적인 예방법을 실천한다면 구강암은 충분히 예방할 수 있는 질병입니다. 이 글에서는 중장년층이 꼭 알아야 할 구강암의 대표 증상, 흡연자가 특히 주의해야 하는 이유, 그리고 단계별 예방수칙을 번호별로 정리하여 체계적으로 소개합니다. 금연생각이나 몸상태가 의심이 되는 분들은 꼭 참고하시어 건강한 몸과 마음을 만드시길 바랍니다.
1. 중장년층이 주의해야 할 구강암 초기증상 5가지
1. 2주 이상 지속되는 입안 궤양
입안에 생긴 상처가 2주 이상 낫지 않고 계속 헐거나 번지는 경우, 단순한 구내염이 아니라 암의 초기 신호일 수 있습니다.
2. 붉거나 하얀 반점
혀, 볼 안쪽, 잇몸 등에 생긴 붉은 반점(erythroplakia)이나 하얀 반점(leukoplakia)은 세포 변형이 진행 중일 수 있는 전암성 병변으로 의심해야 합니다.
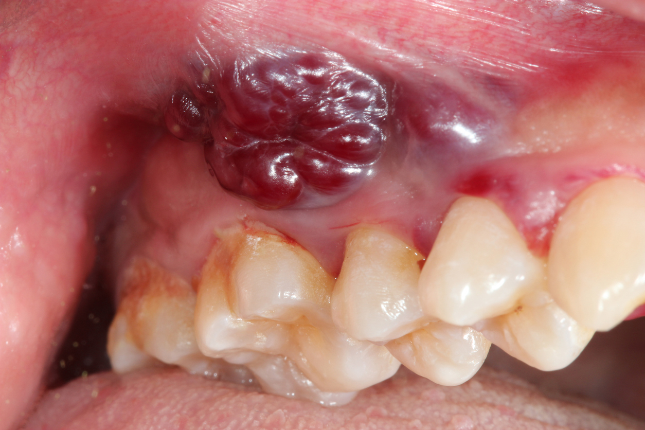
3. 입안 또는 혀에 생긴 덩어리
볼록하거나 딱딱한 혹 같은 덩어리가 만져지고 점점 커진다면, 정밀 검사가 필요합니다.
4. 삼킴 장애 및 통증
음식물 삼키기 어렵거나 통증이 동반된다면 인후부나 혀 근처에 이상이 생긴 것일 수 있습니다.
5. 입 주변 감각 이상 및 림프절 부음
턱, 볼, 귀 밑 림프절 등이 붓거나 마비 증상이 나타날 경우, 암세포 전이 가능성도 염두에 두어야 합니다.
2. 흡연자가 구강암에 더 취약한 4가지 이유
1. 직접적인 발암물질 노출
담배 연기에는 니코틴, 타르, 포름알데히드, 벤젠 등 수십 종의 발암물질이 포함되어 있어, 구강 점막을 반복적으로 자극합니다.
2. 세포 재생력 저하
흡연은 구강 점막의 회복 기능을 떨어뜨립니다. 작은 상처나 염증도 잘 아물지 않아, 장기적으로 세포 돌연변이 가능성을 높입니다.
3. 침 분비량 감소로 인한 세균 증식
침은 구강 위생을 유지하는 핵심 요소입니다. 흡연자는 입안이 쉽게 건조해져 세균과 바이러스가 쉽게 증식할 수 있는 환경이 됩니다.
4. 면역력 저하 및 만성 염증 유발
장기 흡연은 전신 면역력 저하뿐만 아니라, 구강 내 염증을 만성화시키는 원인이 됩니다. 이 염증은 암세포 성장의 환경이 될 수 있습니다.
3. 구강암 예방을 위한 중장년 실천 수칙 6단계
1. 금연 실천
모든 암 예방의 기본은 금연입니다. 하루라도 빨리 금연을 시작할수록 구강암 위험은 현저히 줄어듭니다.
2. 정기적인 치과 검진
6개월마다 구강 내 상태를 점검받고, 이상 징후 발견 시 즉시 조직검사를 시행해야 합니다. 증상이 없어도 조기검진이 매우 중요합니다.
3. 균형 잡힌 식단 유지
비타민 A, C, E와 같은 항산화 영양소가 풍부한 채소와 과일 섭취는 점막 세포의 건강 유지에 효과적입니다.
4. 충분한 수분 섭취
하루 1.5~2리터 이상의 물을 마시는 것은 입안 건조를 예방하고, 침 분비를 도와 구강 위생을 유지하는 데 큰 도움이 됩니다.
5. 올바른 구강 위생 관리
하루 2~3회 양치질은 기본이며, 치실과 가글을 병행하여 세균 번식을 최소화해야 합니다. 틀니 사용자는 매일 소독이 필수입니다.
6. 과도한 음주 및 자극적인 음식 줄이기
알코올은 구강 점막을 자극하며, 매운 음식·짠 음식은 점막을 손상시킬 수 있어 주의가 필요합니다.
결론: 올해는 꼭 금연에 성공하시기 들을 바랍니다.
구강암은 조기 발견과 생활습관 개선으로 충분히 극복 가능한 질환입니다. 특히 중장년 흡연자라면 증상 하나하나에 민감하게 반응하고, 정기 검진을 생활화해야 합니다. 무엇보다 지금 당장 금연을 결심하고, 예방 수칙을 하나씩 실천해 나간다면 건강한 중년과 노년을 충분히 행복하게 누릴 수 있습니다. 오늘 이 순간, 실천이 미래의 건강을 결정합니다. 다음으로 미루지 마시고 지금 바로 금연을 목표로 삼아 도전하시기 바랍니다.
'의학' 카테고리의 다른 글
| 요로결석의 원인, 치료, 예방법 정리 (0) | 2025.03.24 |
|---|---|
| 원인, 백신, 검사로 보는 20대 여성을 위한 자궁경부암 예방법 (0) | 2025.03.24 |
| 광견병 감염과정 완전정리 (전염경로, 증상, 치료법) (0) | 2025.03.24 |
| 도시생활, 스트레스, 생활습관과 한국인 대상포진의 상관관계 (5) | 2025.03.23 |
| 심혈관질환 진단부터 치료까지 단계별 정리 (2) | 2025.03.23 |